Pemkot Tangerang Jalin Kerjasama Poltekkes Jakarta I Wujud Komitmen Mengentaskan Kasus Stunting
Tangerang (Brita7.online) - Pemerintah Kota (Pemkot) Tangerang terus berkomitmen mengentaskan kasus stunting di Kota Tangerang. Salah satunya, Pemkot Tangerang baru saja menjalin...
Kepengurusan PUDI Cabang Banten Periode 2025 – 2028 Resmi Dilantik
Tangerang (Brita7.online) - Perhimpunan Dokter Umum Indonesia (PDUI) Cabang Banten secara resmi membentuk kepengurusan baru untuk periode 2025-2028 pada Selasa, 23 September...
Dinkes Tangsel Gencarkan RW Bebas TBC, Target 100 Persen Eliminasi di 2030
Tangerang Selatan (Brita7.online) - Dinas Kesehatan (Dinkes) Kota Tangerang Selatan (Tangsel) tengah gencar membentuk RW Bebas TBC. Ini sebagai upaya eliminasi kasus...
Dinkes Kota Tangerang Himbau Masyarakat Untuk Waspada Dan Mengenali Penyakit Chikungunya
Kota Tangerang (Brita7.online) - Chikungunya merupakan penyakit tropis yang ditularkan melalui gigitan nyamuk Aedes Albopictus dan Aedes Aegypti.
Virus...
Dikeluhkan, Puskesmas Sukasari Abaikan Pasien
Kota Tangerang (Brita7.online) – Pusat Kesehatan Masyarakat, disingkat Puskesmas, adalah fasilitas pelyanan kesehatan di Indonesia yang diamanatkanKementrian Kesehatan Republik Indonesia untuk menyediakan layanan kesehatan bagi...
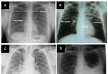
Tekan Kasus TBC Dinkes Kota Tangerang Berikan Kemudahan Masyarakat Untuk Melakukan Skrining Mandiri
Kota Tangerang (Brita7.online) – Tuberkolosis atau dikenal dengan sebutan TBC adalah jenis infeksi paru-paru yang disebabkan oleh bakteri Mycobacterium tuberculosis. Ini merupakan penyakit...
IDI Cabang Tangerang Gelar Pertemuan ilmiah Tahunan (PIT) Ke VIII
Tangerang (Brita7.online) - Ketua Umum Pengurus Besar Ikatan Dokter Indonesia Dr. dr. Adib Khumaidi Sp.OT mengucapkan terimakasih atas terselenggaranya, pertemuan ilmiah tahunan yang ke-VIII...
TBC Bisa Disembuhkan Asalkan Masyarakat Aware Melakukan Skrining
Kota Tangerang (Brita7.online) - Banyak yang tidak berani untuk memeriksakan diri jika gejalanya sudah mulai terlihat. Padahal TBC dapat disembuhkan bila cepat ditangani oleh...
Serentak Di 13 Kecamatan Gelar Pekan Imunisasi Nasional Tahun 2024
Kota Tangerng (Brita7.online) - Melalui Dinas Kesehatan (Dinkes) Pekan Imunisasi Nasional (PIN) Polio tahun 2024 akan digelar secara serentak di 13 kecamatan, pada...
Gelar Halal Bihalal : Ketua Umum PB PAPDI Resmikan Gedung Rumah PAPDI Banten.
Kota Tangerang (Brita7.online) - Ketua Umum PB PAPDI Dr. dr. Sally Aman Nasution, SpPD-KKV. meresmikan Gedung Rumah PAPDI Banten, Yang Beralamat Di Cluster Yunani...










